10,000症例以上の実績
最短2回の来院で歯並びを整える
「セラミック矯正」



10,000症例以上の実績








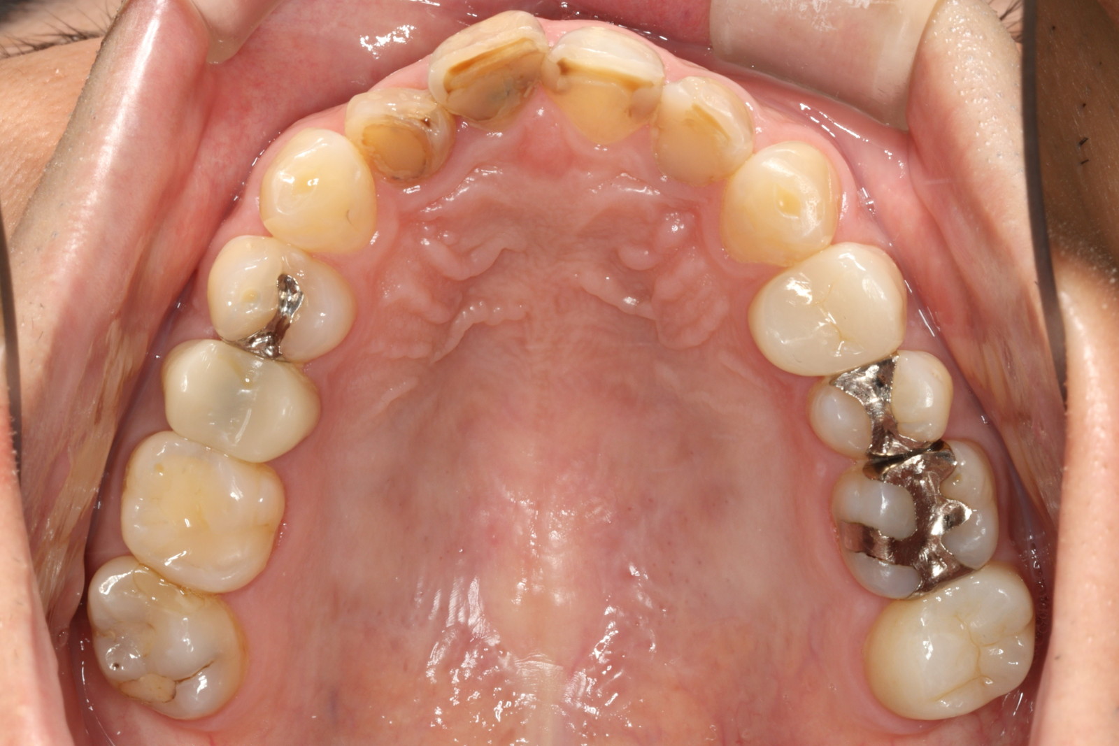
一般的に、歯並びを整える方法としては「歯列矯正」があり、歯の形や色を整える方法として
は「セラミック治療」があります。
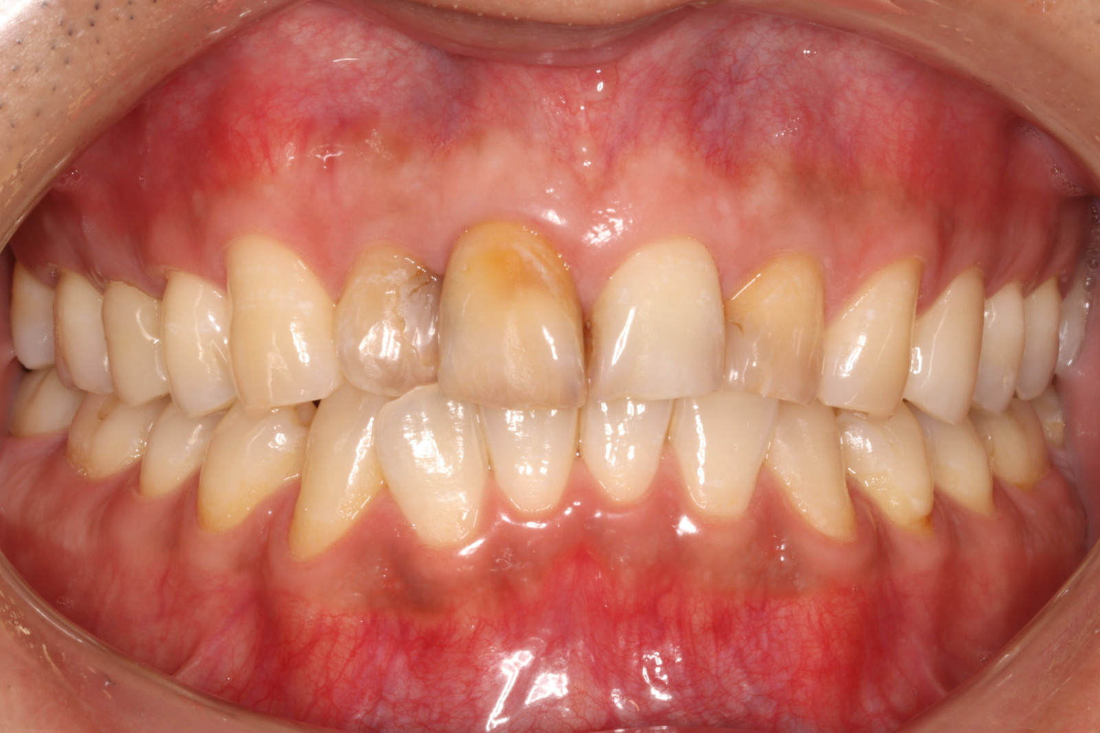
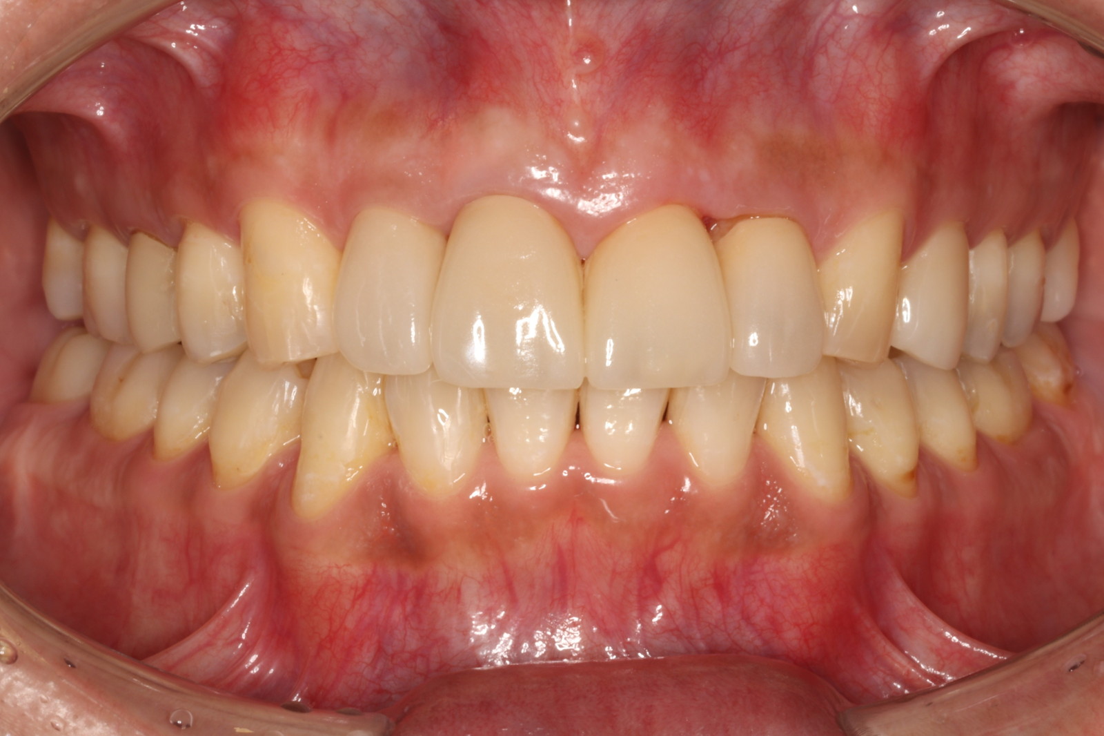
当院では、これらを組み合わせた「セラミック矯正」を提供しています。具体的には、セラミックの被せ物を使って歯の形や色を整えながら、同時に歯並びも改善していきます。
一般的な矯正治療とセラミック矯正の違いについて、よく患者様からご質問をいただくため、
比較して違いをまとめてみました。
治療期間 | 治療法 | その他 | |
|---|---|---|---|
矯正治療 ![]() | 1年半~2年 | 矯正装置 | ・抜歯が必要な場合がある |
セラミック矯正 ![]() | 1回~3回 | セラミックの被せ物 | ・抜歯は不要 |
比較表から分かるように、セラミック矯正は短期間で美しい歯になるというメリットがあります。
しかし、その一方で「健康な歯を削る」必要があります。セラミックの被せ物を装着するためには、どうしても天然歯を削らなければなりません。
そのため、健康な歯を削ることに抵抗がある方には、この治療法は不向きかもしれません。そのような方には、矯正治療をおすすめします。矯正治療についての詳細は、矯正治療のページをご覧ください。

以下の条件に当てはまる方には、矯正治療よりもセラミック矯正をおすすめしています。

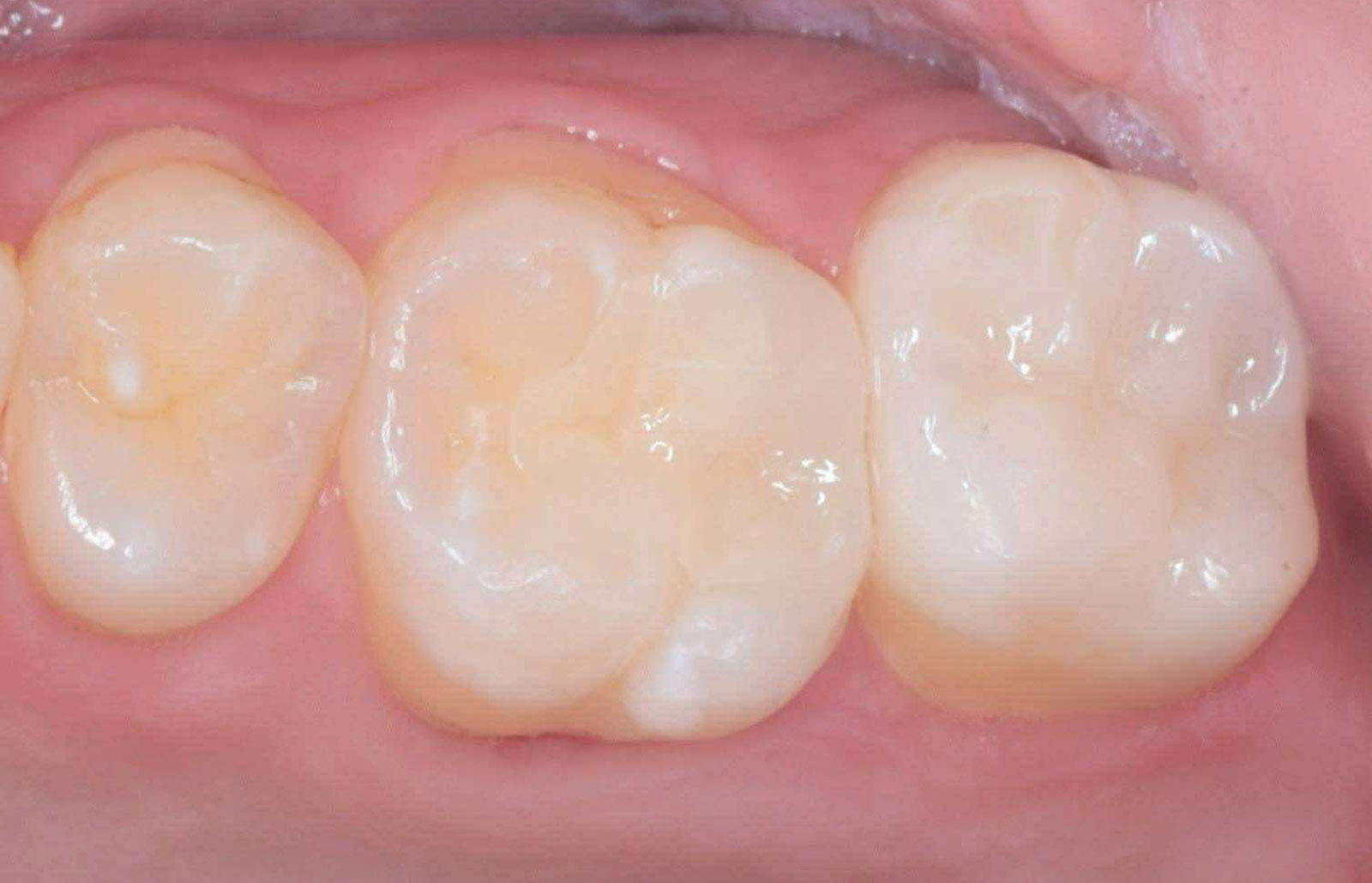
被せ物の製作は歯科医師ではなく、歯科技工士が担当します。
当院ではBright dental artsの代表・伊藤氏に依頼し、クオリティの高い補綴物を患者様へ提供します。


当院では、患者さんが抱えていらっしゃるお口のお悩みや疑問・不安などにお応えする機会を設けております。どんなことでも構いませんので、私たちにお話ししていただけたらと思います。
ご興味がある方は下記からお問い合わせください。