「インビザライン」によるマウスピース矯正
×
目立ちにくい「ワイヤー矯正」
~以下のようなご要望にも対応します~
- 前歯の部分矯正(5.5万円~44万円)
- 後戻りした歯の再矯正(5.5万円~44万円)




~以下のようなご要望にも対応します~













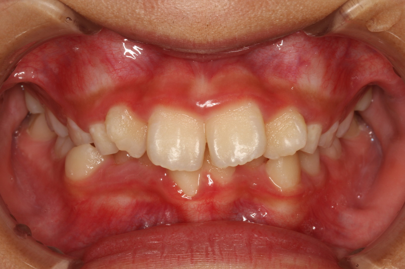
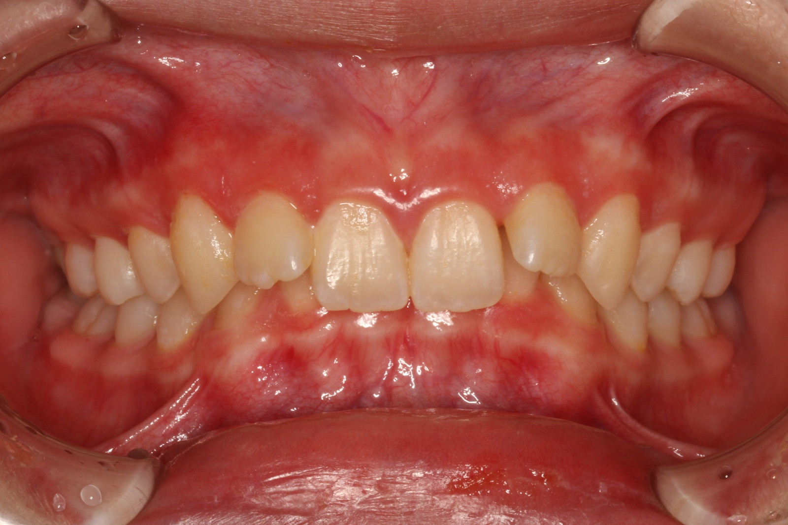
当院では、患者様の口腔の状態やそれぞれのニーズに応じた矯正治療法を提供しています。
大きく分類すると、以下の2つの方法に分けることができます。
それぞれの特徴について、詳しくご説明します。




近年、注目を集めている「マウスピース型矯正装置」は、その名の通りマウスピースを使用する矯正治療法です。
この治療法には、次のような特徴があります。
装置が目立ちにくい点は大きなメリットです。接客業や人前で話す機会が多い方でも、違和感なく使用できます。
また、マウスピースを自分で取り外せるため、食事の制限がなく、歯磨きなどのセルフケアも容易に行えます。

世界中のさまざまなメーカーがマウスピース型矯正装置を製作しています。その中でも、当院では世界No.1のシェアを誇る「インビザライン」を採用しています。
インビザラインは、マウスピース型矯正装置のパイオニアとされるアメリカのアライン・テクノロジー社の製品です。この装置は、アメリカや日本を含む世界100カ国以上で使用され、延べ900万人以上がインビザラインによる矯正治療を受けています。
インビザラインには以下のような特徴があります。


インビザラインでは、iTeroという装置を使って、治療前にどのように歯が動いていくのかをシミュレーションできます。治療後の歯並びも確認できるため、患者様と医師の間でイメージのズレがなく、安心して治療を進めることができます。

インビザラインは、全体的な歯並びの矯正だけでなく、前歯など気になる部分だけの矯正にも対応しています。全体的な矯正に比べて治療期間が短く、治療費も抑えられることが多いため、患者様の負担を軽減することができます。

マウスピース矯正で「歯が動かない」というトラブルを耳にしたことはありませんか?マウスピース矯正はAIを活用して歯を動かす治療方法で、従来のワイヤー矯正と比べて医師の直接的な介入が少ない治療です。
AIは正確性が高いですが、まだ完全ではありません。そのため、人による調整が必要になることが多く、この調整がうまくいかないと、歯が動かないというトラブルに繋がることがあります。
マウスピース矯正が人気で、多くの歯科医院で行われていますが、経験と知識が不足している医院では適切な調整が行われず、トラブルが発生することもあります。予定通りに歯を動かし、トラブルを避けるためには、経験と実績が豊富な医師がいる歯科医院で治療を受けることをおすすめします。
また、歯科医院で使用されるマウスピース矯正装置のメーカーにも注目しましょう。以下のような要注意メーカーも存在します。
治療を受ける前に、歯科医院がどのメーカーの装置を扱っているのか、またそのメーカーの信頼性について必ず確認するようにしましょう。

ワイヤー矯正は、昔から広く行われている一般的な矯正方法です。しかし、歯の表面に付けるワイヤーやブラケットが目立つこと、一度装着すると治療が完了するまで取り外せないことから、大人の矯正治療では避けられることがありました。
最近では、マスクの着用が一般的になったため、ワイヤー矯正でも問題がないという理由で再び選ばれる方が増えています。ワイヤー矯正は取り外しができないため、装着し忘れる心配がなく、さまざまな歯並びに対応できるのが大きなメリットです。
当院では、表側矯正を行っています。また、目立ちにくい加工が施された装置も選ぶことができますので、どうぞお気軽にご相談ください。

問診を行い、お口の悩みや希望を確認します。レントゲン撮影や口腔内写真の撮影など、必要に応じた精密検査を行います。

検査結果に基づき、現在の状態と治療計画(期間や費用含む)についてご説明します。

表面麻酔、極細針、電動麻酔注射などを活用し、できるだけ痛みを感じさせない工夫をしながら治療を進めます。

治療終了後、再発を防ぐための定期健診やクリーニングを行います。

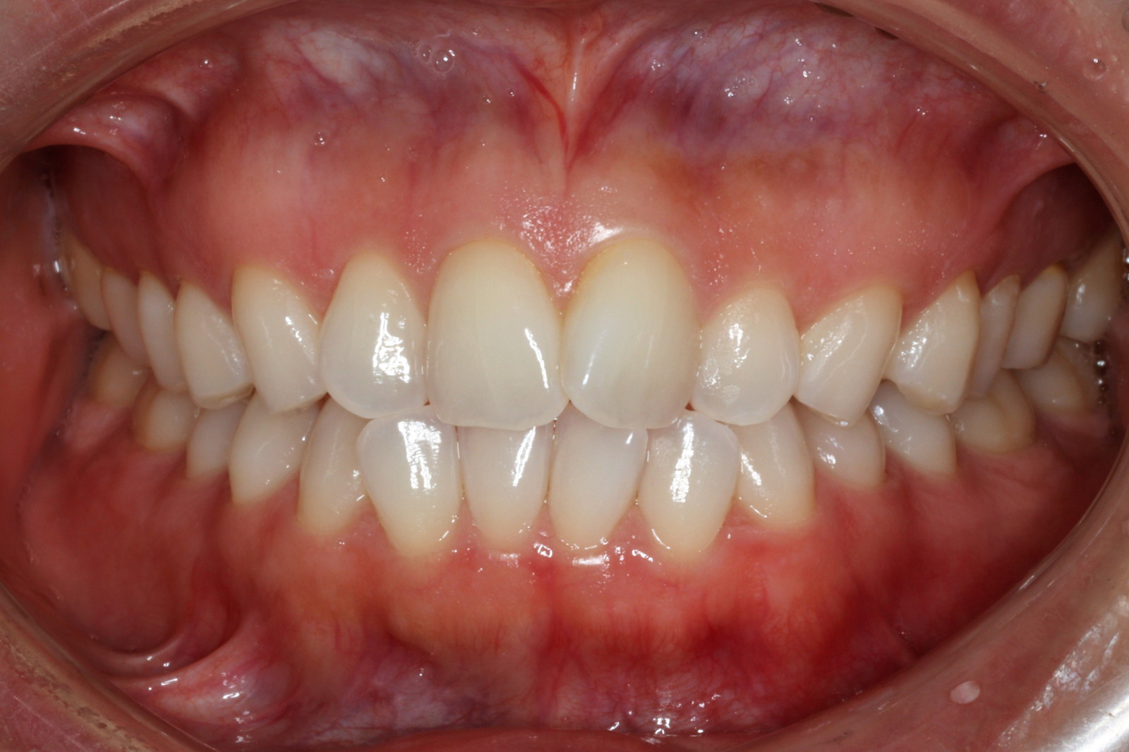
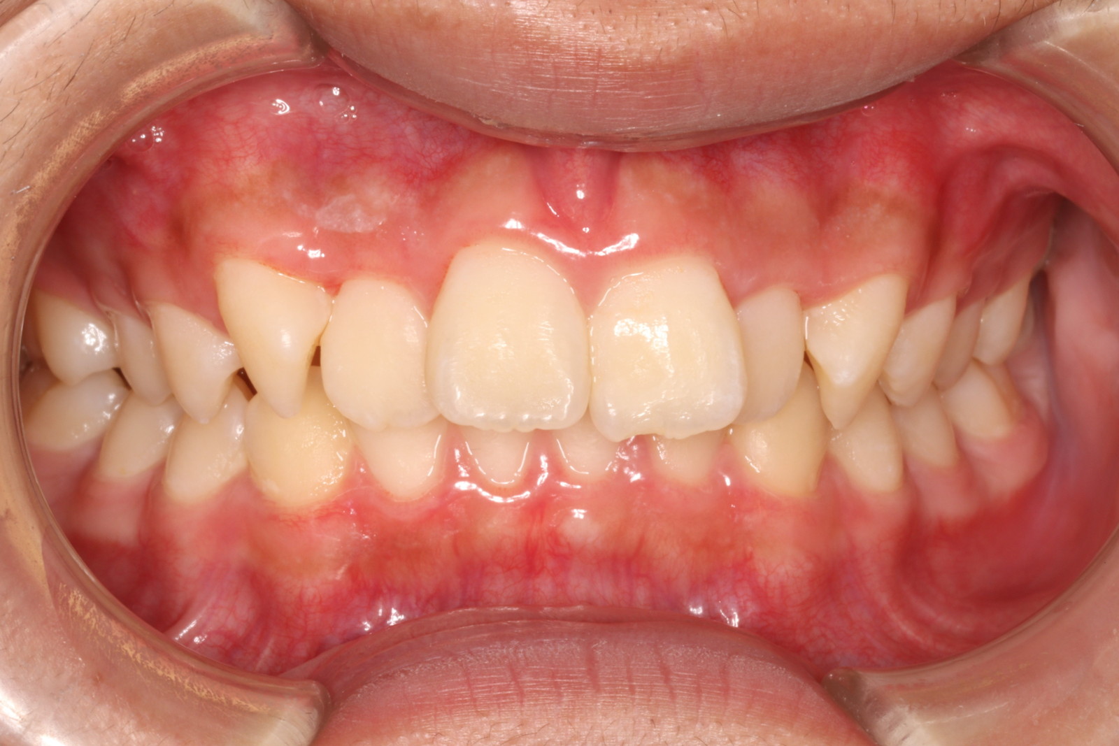
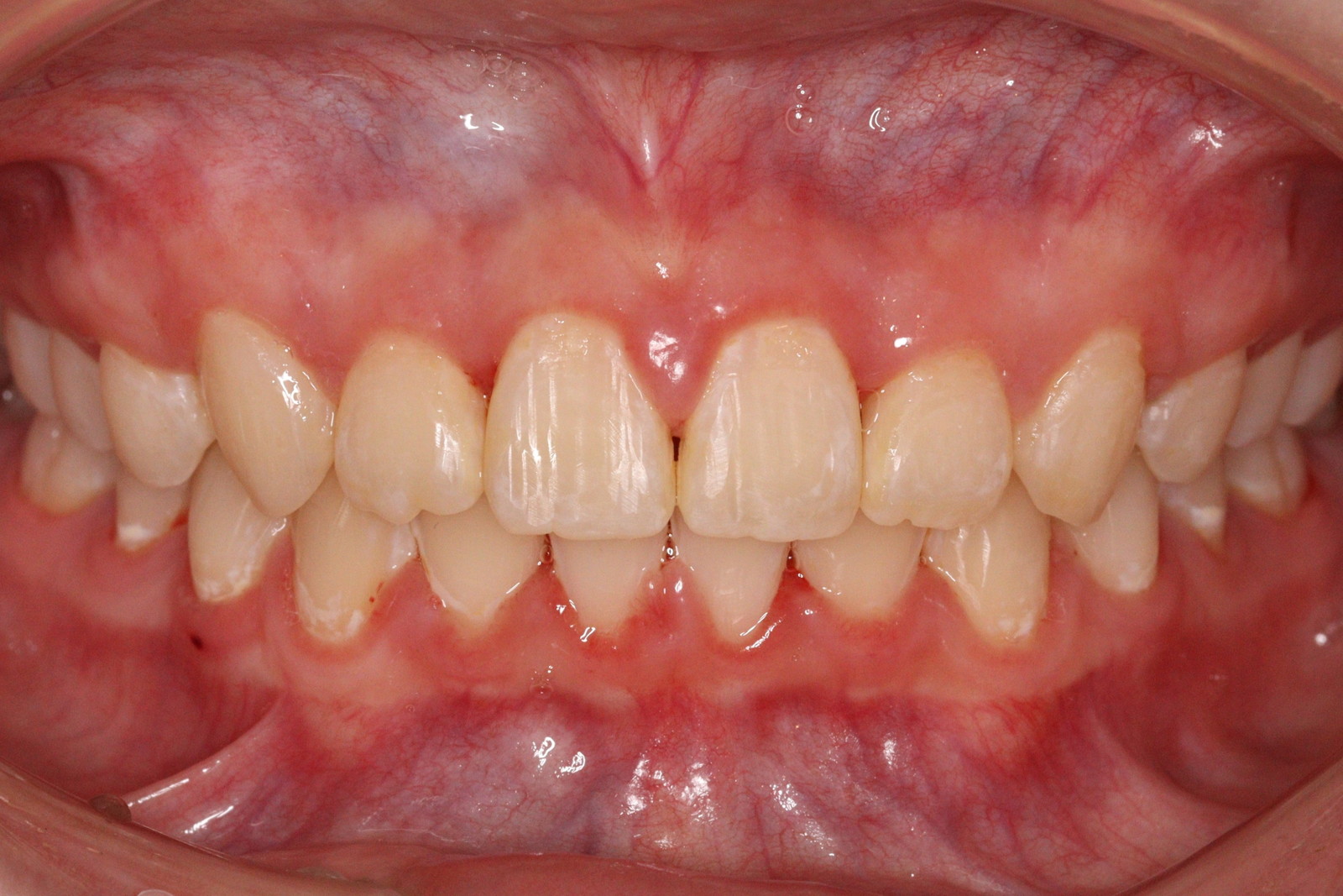
矯正治療後、整えた歯並びが徐々に元に戻ってしまう現象を「後戻り」と言います。後戻りの原因の多くは、歯を保定する装置であるリテーナーの装着不足によるものです。後戻りしてしまうと、再治療が必要になり、また何年も治療期間がかかるのではないかと心配される方も多いでしょう。
しかし、後戻りした歯の多くは、部分的な矯正で済む場合もあります。歯列全体を矯正するよりも、費用も期間も少なく済むことが多いので、まずは当院にご相談ください。
状態を確認し、検査させていただいた後、正確な治療費や治療期間を契約前にお伝えいたします。無理に治療を勧めることはありませんので、どうぞお気軽にご相談ください。
矯正治療は多くの歯科医院で受けることができます。それらの歯科医院は以下の2つのタイプに分けられます。
これらの違いについて、よく患者様からご質問をいただくため、それぞれの特徴を表にまとめてご紹介します。
専門性 | 抜歯 | 虫歯・ | 1つの | |
|---|---|---|---|---|
矯正 | ◎ | × | × | 〇 |
「総合」 | 〇or△ | 〇 | 〇 | 〇 |
矯正治療を専門的に扱っている矯正専門医院は、専門性が非常に高いです。しかし、抜歯や虫歯、歯周病の治療が必要な場合、その治療を矯正専門医院では行えないことがあります。この場合、他の歯科医院で虫歯や歯周病の治療を受けながら、矯正治療のために矯正専門医院に通うことになるかもしれません。
一方、総合歯科医院では、抜歯や虫歯の治療も含め一つの医院で行うことができます。このため、一か所で完結するというメリットがあります。
どちらが良いかは一概には言えませんが、患者様のニーズに応じて選ぶことが大切です。すべての歯科治療を一か所で完結させたい場合は「総合歯科医院」、特にワイヤー矯正など専門性の高い治療を受けたい場合は「矯正専門医院」を選ぶと良いでしょう。
ちなみに、当院は「総合歯科医院」です。総合歯科医院として、虫歯治療や抜歯などの一般歯科治療も行っており、さらに矯正治療においても日本矯正歯科学会認定医が在籍していますので、高い専門性と豊富な実績を兼ね備えています。治療中の抜歯や虫歯治療にも対応できるため、安心して治療を受けていただけます。
当院では、患者さんが抱えていらっしゃるお口のお悩みや疑問・不安などにお応えする機会を設けております。どんなことでも構いませんので、私たちにお話ししていただけたらと思います。
ご興味がある方は下記からお問い合わせください。